南召县红阳医院
网站首页
医院概况
医院简介
院长致词
资质荣誉
设备设施
就医指南
科室介绍
专家团队
特色服务
门诊排班
就医流程
政策法规
资讯服务
党建文化
健康科普
联系我们
网站首页
>>
精准麻醉 守护生命丨高龄手术不再是“禁区”
当前位置:
搜索
名称
描述
内容
NAN ZHAO COUNTY HONG YANG HOSPITAL
健康科普
党建文化
政策法规
资讯服务
医院概况
医院简介
院长致词
资质荣誉
设备设施
就医指南
科室介绍
专家团队
特色服务
门诊排班
就医流程
41
精准麻醉 守护生命丨高龄手术不再是“禁区”
来源:
|
作者:
红阳医院
|
发布时间:
2023-05-26
|
2593
次浏览
|
分享到:
老龄化社会的到来,令人们越来越关注老年人健康。随着科学技术的进步、医疗水平的发展,以往不被主张的高龄老人全麻手术如今已不再是“禁区”。
术前,转子间骨折
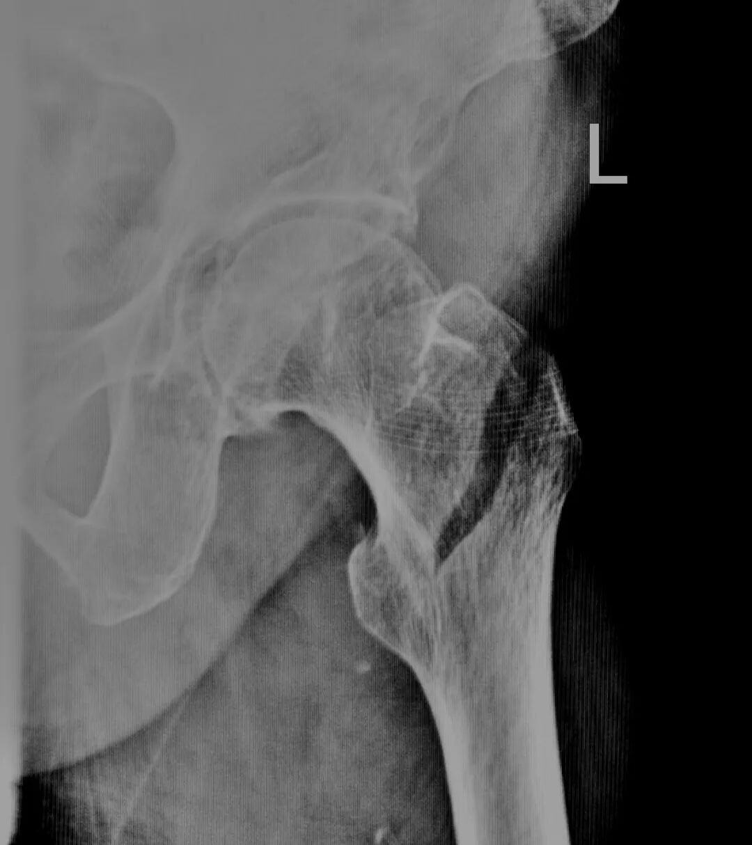
术后,骨折固定完美
近日,红阳医院外科,在手术室麻醉医师的配合下,为一位96岁高龄的老奶奶进行了左侧股骨转子间手术内固定术。麻醉过程顺利,手术成功。
高龄老人普遍心肺功能差,对手术、麻醉的耐受能力降低,手术期间存在巨大风险。
为了顺利完成手术,外科医师和麻醉科医师术前进行了病情讨论,
制定了
严
密的麻醉及手术方案,及时
完
善各项术前检查。
麻醉科医师和外科医师一起,术前进入病房进行访视,了解患者的情况。
穿刺麻醉中
手术中
术后访视病人,身体状况恢复良好。
麻醉不是简单地打麻药
近年来,高龄患者手术不断增加,这个群体普遍基础疾病多,手术风险大,也给麻醉带来了不少挑战。
对于麻醉医生来说,麻醉不止是“打一针,睡一觉”那么简单!业内有句话:“外科医生是治病的,麻醉医生是救命的”
。
在一台手术中,工作时间最长、最重要的就是麻醉医生,他们既要看着患者“睡着”,也要负责让患者苏醒。
麻醉的围术期管
理和
优化是患者
顺
利康复的重要组成
部分。
术前,麻醉医生要对手术患者身体的各个系统,尤其是关乎生命的呼吸、循环以及中枢神经系统是否能耐受手术麻醉进行
评估
。随后,
麻醉医生会与手术医生共同制定麻醉方案,尤其针对高风险人群,更要制定出精准化、个性化的麻醉实施方案。
术中,麻醉医生需要时刻关注患者的生命体征变化、手术进程,同时根据患者的术中情况进行分析处理,帮助患者平稳顺利度过围手术期。一台手术下来,麻醉医生对病人的健康情况几乎了如指掌。
临床中,麻醉科的业务范畴涵盖了临床麻醉、急救复苏、重症监测和疼痛诊疗四个方面,有全身麻醉、椎管内麻醉以及区域阻滞麻醉等多种方式。比如,在无痛胃肠镜、无痛人流等领域,可为患者提供安全无痛的技术支持,保证诊疗结果的准确与患者安全;难以承受的神经痛、癌痛等也在麻醉技术不断进步的情况下找到控制方法,使被疼痛困扰的患者免于折磨。
未来,红阳医院
手术麻醉科团队将不断发展创新,深化精细化麻醉管理,为患者生命保驾护航。
上一篇:
红阳医院购置新肠镜了......
下一篇:
科学食养,助力儿童健......